Todos podemos sufrir inflamación en las encías, pero existen remedios para prevenir esta patología, y también para curarla.
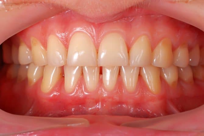
La gingivitis es una enfermedad bucal generalmente bacteriana que provoca inflamación y sangrado de las encías, causada por los restos alimenticios que quedan atrapados entre los dientes.
Su origen tiene que ver con los efectos a largo plazo de los depósitos de placa en los dientes (el material pegajoso compuesto de bacterias, moco y residuos de alimentos que se acumula en los dientes). La placa y el sarro acaban irritando e inflamando las encías, lo que también provoca que éstas se tornen más sensibles y se produzca sangrado.
Con todo, los síntomas específicos que nos informarán de que sufrimos gingivitis deben ser diagnosticados por un profesional, aunque pueden resumirse en sangrado de encías, apariencia roja brillante en las encías, sensibilidad al tacto, úlceras bucales, inflamación y dolor en las encías. En los fumadores este signo está enmascarado, es decir, es mucho menos probable que sangren las encías aun teniendo gingivitis ya que el tabaco produce vasoconstricción.
Factores que predisponen a la gingivitis
Existen una serie de factores que favorecen la aparición de la gingivitis. Los principales son los siguientes:
Higiene dental deficiente.
Cambios hormonales debido a la pubertad.
Cambios hormonales debido al embarazo.
Diabetes no controlada.
Dientes mal alineados.
Uso de ciertos medicamentos como fenitoína, bismuto y algunas píldoras anticonceptivas.
Prevención
La buena higiene oral es la mejor forma de prevenir la gingivitis, lo que incluye cepillado diario (al menos tres veces después de las comidas) y el uso de seda dental.
Incluso con un cuidadoso cepillado y uso de seda dental, en ocasiones podemos dejar restos de placa, así que es conveniente hacerse una limpieza dental profesional al menos cada 6 meses.
La placa dental se forma en la superficie de dientes, encía y restauraciones, y difícilmente puede observarse a simple vista, aunque su consistencia es blanda, mate, color blanco-amarillo. Varía de un individuo a otro, y también varía su localización anatómica.
Sin embargo, el término placa bacteriana es un término ya en desuso, siendo sustituido por el término biofilm oral, ya que hoy existen evidencias de que la masa microbiana no se limita a formarse solo en los dientes y que está compuesta por millones de microorganismos en comunidades bien organizadas.
Tratamiento
Cuando aparece un cuadro de gingivitis en muchas ocasiones no es doloroso, pero si no se trata puede derivar en una periodontitis, que es una enfermedad que se caracteriza por una pérdida de inserción colágena, recesión gingival e incluso la pérdida de hueso, en el caso de no ser tratada, deja sin soporte óseo al diente. La pérdida de dicho soporte implica la pérdida irreparable del diente mismo. Aquí os explicamos, también, cómo se puede contagiar esta enfermedad.
Según la Sociedad Española de Periodoncia y Osteointegración, la importancia de un correcto diagnóstico de este tipo de lesión es muy importante, dado que se puede confundir fácilmente con otras patologías.
Aunque generalmente no se necesitan exámenes adicionales, se pueden tomar radiografías de los dientes y hacer mediciones del hueso dental.
Una vez se diagnostica gingivitis, la misión del odontólogo es reducir la inflamación de las encías. Para ello, llevará a cabo una limpieza bucodental profesional para eliminar el sarro que incluirá:
Ultrasonidos para eliminar el sarro.
Pasta de profilaxis para aumentar los niveles de flúor, mejorar la limpieza y eliminar manchas.
Tiras interproximales para mejorar la higiene en los espacios interdentales.
El tratamiento podrá complementarse con enjuagues bucales antibacterianos y colutorios con clorhexidina durante una semana. Y, en caso de necesidad, se repararán los dientes desalineados o se reemplazarán los aparatos dentales en sesiones posteriores, a fin de que se evite la predisposición a sufrir gingivitis.
De ser necesario, el odontólogo o el higienista oral mostrarán a la persona la forma correcta de cepillarse y usar la seda dental.
El sangrado y la sensibilidad de las encías deben disminuir al cabo de una o dos semanas después de una limpieza profesional y de una buena higiene oral en casa.
Fuente: http://muysaludable.sanitas.es

